Migrény a bolesti hlavy patria medzi najčastejšie zdravotné problémy dnešnej populácie. Mnoho ľudí ich spája najmä so stresom, únavou alebo problémami s krčnou chrbticou. Menej známy je však fakt, že na bolesti hlavy môže vplývať aj zdravie ústnej dutiny. Zápaly ďasien, baktérie v zubnom povlaku či chronické infekcie v ústach môžu nepriamo ovplyvňovať celý organizmus. Pravidelná dentálna hygiena preto zohráva dôležitú úlohu nielen pri ochrane zubov, ale aj pri celkovom zdraví.
Prepojenie medzi zdravím ústnej dutiny a bolesťami hlavy
Ústna dutina je vstupnou bránou do organizmu a jej zdravotný stav môže ovplyvniť mnoho procesov v tele. Baktérie, ktoré sa nachádzajú v zubnom povlaku alebo v zapálených ďasnách, produkujú toxíny a zápalové látky. Tie sa môžu cez krvný obeh dostať do rôznych častí tela a vyvolávať zápalové reakcie. Oblasť ústnej dutiny je navyše úzko prepojená s trojklanným nervom, ktorý zabezpečuje citlivosť veľkej časti tváre a hlavy. Práve jeho podráždenie môže u niektorých pacientov prispievať k bolestiam hlavy alebo zhoršovať migrény.
Niektoré vedecké štúdie naznačujú, že chronické zápaly v ústnej dutine môžu prispievať k zhoršeniu bolestí hlavy alebo migrén. Zápalové mediátory totiž môžu ovplyvňovať nervový systém a citlivosť nervových zakončení. To neznamená, že každá migréna vzniká kvôli zubom. Zdravie ústnej dutiny však môže byť jedným z faktorov, ktorý bolesti hlavy zhoršuje alebo udržiava.

Zápaly ďasien ako nenápadný zdravotný problém
Zdravie ďasien má zásadný vplyv na celkový stav ústnej dutiny, no mnoho ľudí mu nevenuje dostatočnú pozornosť. Zápal ďasien sa totiž často vyvíja pomaly a bez výraznej bolesti, preto ho pacienti zvyknú prehliadať. Medzi prvé varovné signály patrí krvácanie pri čistení zubov, začervenanie ďasien alebo pocit citlivosti v oblasti ďasien.
Ak sa zápal nelieči a baktérie zostávajú v ústnej dutine dlhodobo, môže sa postupne rozšíriť aj do hlbších tkanív, ktoré držia zuby v kosti. V takom prípade už hovoríme o parodontitíde, ktorá predstavuje vážnejší problém a môže ovplyvniť nielen zdravie zubov, ale aj celkový stav organizmu. Pravidelná dentálna hygiena preto zohráva dôležitú úlohu pri včasnom odhalení a odstránení zápalových procesov v ústach.



Dentálna hygiena ako prevencia chronického zápalu
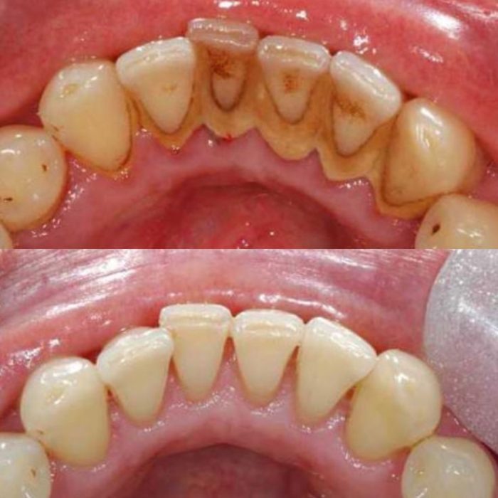
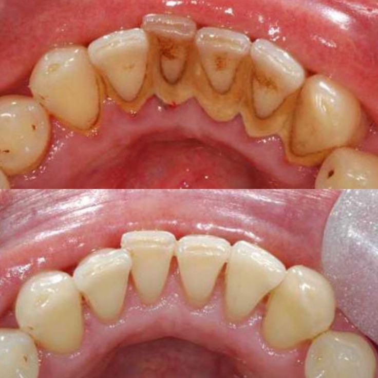
Dentálna hygiena je profesionálne ošetrenie, ktorého cieľom je odstrániť zubný povlak, zubný kameň a baktérie z miest, kam sa bežná zubná kefka nedostane. Ide najmä o medzizubné priestory a oblasť pod ďasnami.
Pravidelná dentálna hygiena pomáha:
- znižovať množstvo baktérií v ústnej dutine,
- predchádzať zápalom ďasien,
- znižovať riziko parodontitídy,
- podporovať celkové zdravie organizmu.
Pravidelná dentálna hygiena pomáha odstrániť baktérie a zubný kameň, ktoré sú častou príčinou zápalov ďasien. Tým sa znižuje zápalová záťaž organizmu a môže sa zmierniť aj frekvencia alebo intenzita bolestí hlavy. Ak sa odstráni zdroj chronického zápalu v ústach, môže sa zlepšiť aj celkový zdravotný stav pacienta.



Bruxizmus a bolesti hlavy
Bolesti hlavy môžu súvisieť aj s napätím v oblasti čeľustných svalov. Mnohí ľudia nevedome škrípu zubami alebo zatínajú čeľusť, najmä počas spánku. Tento stav sa nazýva bruxizmus.
Dlhodobé napätie svalov môže spôsobovať:
- bolesti hlavy,
- migrény,
- bolesti v oblasti spánkov,
- napätie v čeľusti.
Pri dentálnej hygiene sa často odhalia aj tieto problémy, pretože dentálni hygienici dokážu rozpoznať opotrebovanie zubov alebo iné príznaky bruxizmu.
Prečo je dentálna hygiena dôležitá aj pre celkové zdravie?
Moderná medicína čoraz viac poukazuje na to, že zdravie ústnej dutiny úzko súvisí so zdravím celého tela. Chronické zápaly v ústach môžu byť spojené napríklad so srdcovými ochoreniami, cukrovkou alebo oslabenou imunitou. Dentálna hygiena preto nie je len estetickým ošetrením, ale dôležitou súčasťou prevencie. Pomáha odstrániť baktérie a znížiť zápalovú záťaž organizmu.
Dentálna hygiena v Dental Brothers
V Dental Brothers pristupujeme k dentálnej hygiene komplexne a individuálne. Každé ošetrenie začína vyšetrením stavu zubov a ďasien, aby bolo možné nastaviť správny postup.
Dentálna hygiena zahŕňa:
- odstránenie zubného kameňa ultrazvukom,
- pieskovanie pigmentácií a povlaku,
- leštenie zubov,
- odborné poradenstvo v oblasti ústnej hygieny.
Cieľom je nielen zdravý a čistý úsmev, ale aj prevencia zápalov a ďalších zdravotných komplikácií.



Môže dentálna hygiena v Dental Brothers pomôcť aj pri bolestiach hlavy?
Migrény a bolesti hlavy môžu mať mnoho príčin. Zdravie ústnej dutiny je však faktor, ktorý by sa nemal podceňovať. Chronické zápaly ďasien alebo baktérie v ústach môžu prispievať k zápalovým procesom v organizme. Pravidelná dentálna hygiena pomáha odstrániť zdroje infekcie, podporuje zdravie ďasien a môže pozitívne ovplyvniť celkovú pohodu organizmu. Ak vás trápia bolesti hlavy a zároveň máte problémy s ďasnami alebo krvácaním pri čistení zubov, objednajte sa na dentálnu hygienu do Dental Brothers. Prevencia je vždy jednoduchšia než liečba.


