Dentálna hygiena patrí medzi najdôležitejšie kroky v starostlivosti o zdravie zubov a ďasien. Mnohí ju však odkladajú kvôli cene. Dobrou správou je, že dnes môžete absolvovať profesionálnu dentálnu hygienu výrazne lacnejšie, napríklad už od 39 €. Vďaka príspevkom od poisťovní Union a Dôvera a výhodám, ktoré vám ponúkame v Dental Brothers, sa kvalitná starostlivosť stáva dostupnou pre každého.
Prečo je dentálna hygiena základ zdravého úsmevu?
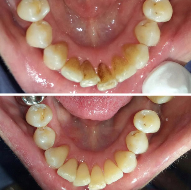
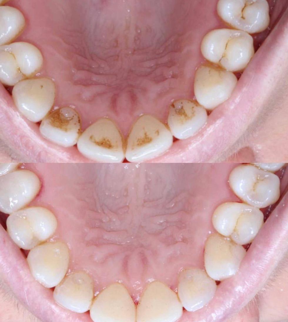
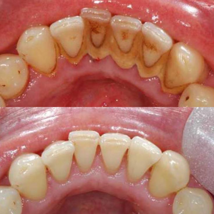
Dentálna hygiena nie je len o estetike. Ide o odborné ošetrenie, ktoré odstraňuje zubný kameň, povlak a baktérie z miest, kam sa bežná kefka nedostane. Pravidelná dentálna hygiena pomáha predchádzať zubnému kazu, zápalom ďasien aj vážnejším problémom, ako je parodontitída. Zároveň ide o najjednoduchší spôsob, ako sa vyhnúť bolestivým a finančne náročnejším zákrokom v budúcnosti.

Ako mať dentálna hygienu len za 39 €?
V Dental Brothers môžete využiť príspevok od zdravotnej poisťovne Union alebo Dôvera, vďaka ktorému vás dentálna hygiena vyjde len na 39 €. Pri rezervácii použite kód PRVANAVSTEVA.
Poisťovne poskytujú príspevky:
- pre dospelých až 2x ročne vo výške 30 €,
- pre deti až 5x ročne vo výške 30 €.
To znamená, že významnú časť ceny ošetrenia pokryje poisťovňa a vy zaplatíte len minimálny doplatok.
Zvýhodnená cena pre nových klientov
Ak prichádzate na dentálnu hygienu do Dental Brothers prvýkrát, môžete využiť špeciálnu ponuku:
- dentálna hygiena namiesto 89 € len za 69 € s kódom PRVANAVSTEVA,
- bielenie zubov namiesto 69 € len za 59 €,
- alebo výhodný All Inclusive balík (dentálna hygiena + bielenie zubov) len za 100 €.
Táto ponuka je ideálna pre pacientov, ktorí chcú začať so starostlivosťou o svoje zuby komplexne a výhodne.



Ďalšie benefity v Dental Brothers, vďaka ktorým ušetríte
V Dental Brothers ponúkame našim dlhodobým aj novým klientom množstvo výhod, ktoré robia dentálnu hygienu ešte dostupnejšou:
- zvýhodnená cena až do 29 € na každú ďalšiu návštevu,
- vernostný program – každá 5. dentálna hygiena zadarmo,
- narodeninové a meninové zľavy,
- detská dentálna hygiena len za 29 €,
- možnosť čerpania príspevkov od poisťovne,
- špeciálne ceny pre seniorov, tehotné ženy a znevýhodnené skupiny,
- skupinové a firemné zľavy.
Vďaka týmto benefitom sa pravidelná dentálna hygiena stáva finančne dostupnou aj z dlhodobého hľadiska. Najmä si treba uvedomiť, že dentálnu hygienu by ste mali podstupovať minimálne 2x ročne.
Dentálna hygiena aj pre deti a rodiny
Veľkou výhodou je, že dentálna hygiena je u nás dostupná aj pre deti za zvýhodnené ceny. Pri objednaní dvoch dospelých môže byť detská dentálna hygiena dokonca zadarmo. To znamená, že celá rodina môže pravidelne dbať o zdravie zubov bez výraznej finančnej záťaže.



Prečo sa oplatí investovať do prevencie a zdravia ústnej dutiny?
Mnohí pacienti riešia zuby až vtedy, keď sa objaví bolesť. V tom momente je však liečba náročnejšia, drahšia a často aj nepríjemnejšia.
Pravidelná dentálna hygiena:
- predchádza vzniku kazov,
- znižuje riziko zápalov,
- pomáha udržať zuby zdravé dlhé roky,
- šetrí peniaze za budúce ošetrenia.
Investícia do prevencie je vždy lacnejšia ako samotná liečba.
Dentálna hygiena v Dental Brothers len za 39 €
V Dental Brothers prebieha dentálna hygiena komplexne a šetrne. Ošetrenie zahŕňa odstránenie zubného kameňa ultrazvukom, pieskovanie (Airflow), leštenie a fluoridáciu. Každý pacient dostane individuálne odporúčania, ako sa o zuby starať doma, aby bol výsledok čo najdlhší.

Kvalitná dentálna hygiena nemusí byť drahá – objednajte sa do Dental Brothers
Dentálna hygiena už dnes nie je luxus, ale dostupná služba pre každého. Vďaka príspevkom od poisťovní a výhodným balíčkom môžete získať profesionálnu starostlivosť už od 39 €. Ak chcete mať zdravé zuby bez bolesti a zbytočných nákladov, objednajte sa na dentálnu hygienu do Dental Brothers a využite všetky dostupné benefity.


