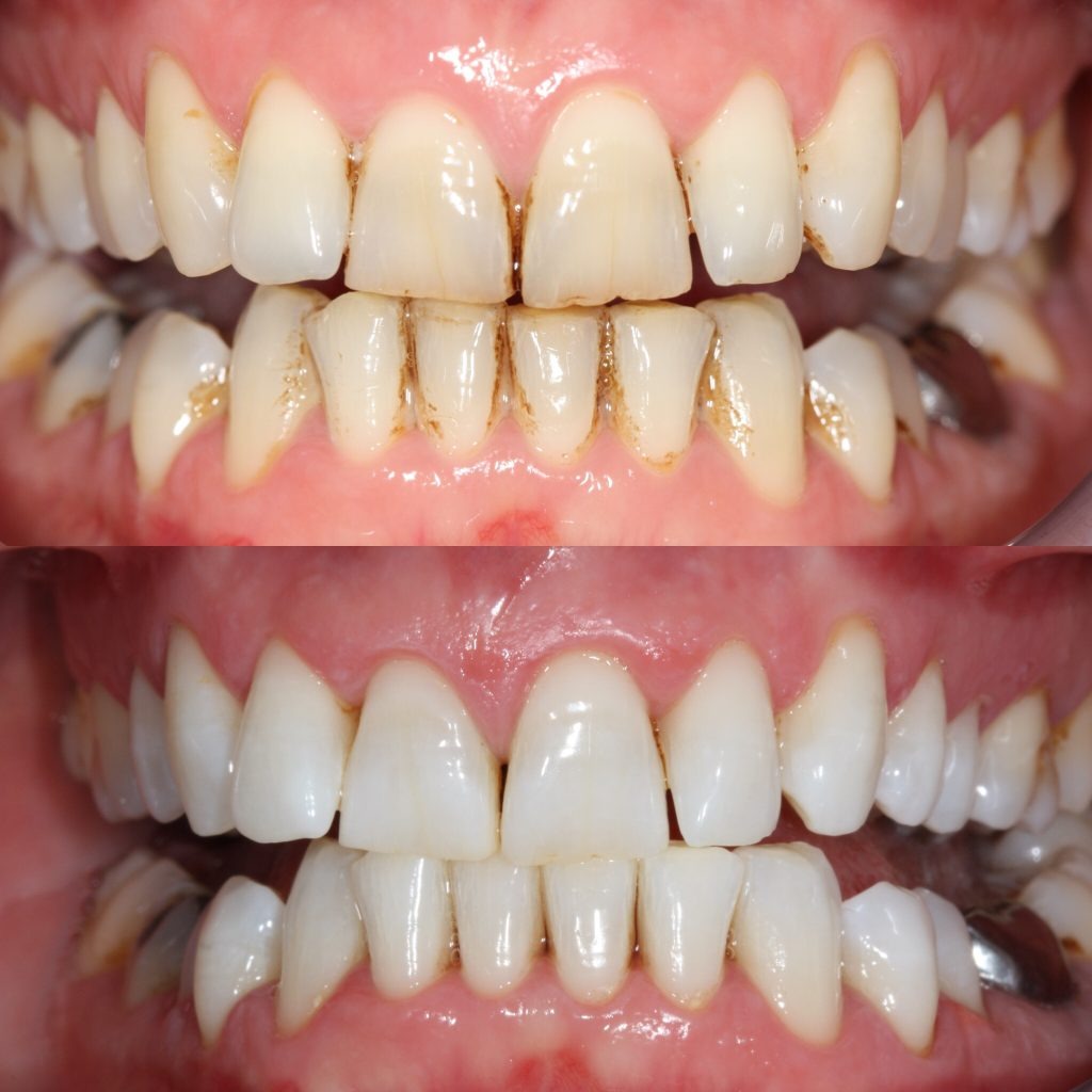
Túžite po žiarivo bielom úsmeve bez zbytočných komplikácií a za dostupnú cenu? Bielenie zubov dnes patrí medzi najvyhľadávanejšie estetické zákroky. Pozrite sa, aké možnosti existujú a prečo je profesionálne bielenie zubov v Dental Brothers tou najlepšou voľbou pre vás.
Sebavedomie začína úsmevom
Krásny úsmev je jedným z najdôležitejších prvkov prvého dojmu. Nie nadarmo sa hovorí, že pekný úsmev je polovica úspechu. Dokáže vám pomôcť pri pracovnom pohovore, v osobnom živote aj v bežných sociálnych situáciách. Práve preto čoraz viac ľudí hľadá účinné bielenie zubov, ktoré je nielen efektívne, ale aj cenovo dostupné. V Dental Brothers využívame moderné riešenia, ktoré vám umožňujú dosiahnuť viditeľné výsledky rýchlo, pohodlne a bez zbytočného stresu. Ak túžite po nádhernom úsmeve, vďaka našim pokročilým technológiám si ho môžete veľmi jednoducho dopriať.



Peroxidové bielenie zubov verzus bielenie bez peroxidu
Peroxidové bielenie zubov
Jednou z najznámejších metód je bielenie zubov peroxidom. Pri tomto procese peroxid preniká do štruktúry zuba a rozkladá pigmenty, ktoré spôsobujú jeho zafarbenie. Tým zabezpečuje rýchly a viditeľný efekt. Keďže však pôsobí priamo vo vnútri zuba, môže dočasne zvýšiť jeho citlivosť a podráždiť ďasná. Preto nemusí byť ideálnou voľbou pre ľudí s citlivými zubami alebo ďasnami, najmä ak nie je vykonané odborne.
Šetrné bielenie zubov bez peroxidu
Alternatívou je bielenie zubov bez peroxidu, ktoré predstavuje moderný a šetrnejší prístup. Takéto bielenie zubov rešpektuje ich prirodzenú štruktúru a minimalizuje riziko podráždenia. Práve tento typ ošetrenia je čoraz populárnejší medzi klientmi, ktorí hľadajú bezpečné a komfortné riešenie bez možných bolestí alebo iných vedľajších účinkov.
Je bielenie zubov škodlivé?
Táto otázka patrí medzi najčastejšie obavy klientov. Pravdou ale je, že všetko závisí od spôsobu a kvality prevedenia. Riziko môže vzniknúť najmä pri neodbornom použití domácich produktov, pri lacných a neoverených prípravkoch alebo nesprávnej aplikácii. Naopak, profesionálne bielenie zubov vykonávané modernou technológiou je bezpečné, kontrolované a rešpektuje prísne normy.

Bielenie zubov, ktoré skutočne funguje
Nie každá metóda prináša rovnaké výsledky. Najúčinnejšie bielenie zubov dnes predstavuje kombináciu inovatívnej technológie, šetrného prístupu a odborného dohľadu. Moderné systémy dokážu zuby zosvetliť o niekoľko odtieňov už počas jedného ošetrenia, pričom zachovávajú ich prirodzený vzhľad. Dôležitú úlohu zohráva aj kvalita použitých materiálov a spôsob aplikácie. Práve profesionálne riešenia sú navrhnuté tak, aby pôsobili rovnomerne, minimalizovali riziko citlivosti a zároveň zabezpečili dlhodobejší efekt.
Profesionálne bielenie zubov dostupné pre každého
Stále sa objavujú aj nové prístupy, ktoré posúvajú bielenie zubov na vyššiu úroveň. Moderné technológie prinášajú riešenia bez vedľajších účinkov a zároveň spĺňajú prísne štandardy. Práve takýto prístup ponúkame aj v Dental Brothers, kde je profesionálne bielenie zubov navrhnuté tak, aby bolo šetrné k sklovine aj ďasnám, časovo nenáročné a úplne bezbolestné. Celý proces prebieha komfortne a bez stresu, čo ocení každý, kto má z podobných zákrokov prirodzené obavy. Výhodou je aj transparentný prístup, pri ktorom klient presne vie, čo môže očakávať, bez skrytých poplatkov či nepríjemných prekvapení.



Prečo sa oplatí investovať do úsmevu?
Biele zuby nie sú len estetickým trendom. Sú dôležitou súčasťou celkového dojmu, ktorý zanechávate na svoje okolie. Pomáhajú zvýšiť sebavedomie, pôsobiť upravene a zdravo, no môžu aj zaujať, či už v osobnom alebo pracovnom živote. Ak hľadáte účinné bielenie zubov, ktoré je bezpečné aj cenovo dostupné, zarezervujte si svoj termín v Dental Brothers ešte dnes a urobte prvý krok k žiarivému úsmevu.


