Dentálna hygiena nie je len estetická záležitosť. Pre niektoré skupiny pacientov, najmä pre paropacientov, tehotné ženy a deti, predstavuje kľúčový faktor zdravia ústnej dutiny. Pravidelná starostlivosť o zuby a ďasná pomáha predchádzať zápalom, kazom aj vážnejším ochoreniam a zároveň môže výrazne ovplyvniť celkové zdravie človeka.
Čo je dentálna hygiena a prečo je dôležitá?
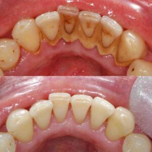
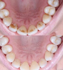
Ide o odborné ošetrenie zubov a ďasien, ktoré pomáha odstrániť zubný povlak, pigmentácie a zubný kameň. Je základom prevencie proti zubným kazom, zápalom ďasien a parodontitíde. Ak sa pýtate, ako odstrániť zubný povlak alebo ako vyčistiť zubný kameň, pravdou je, že samotná domáca starostlivosť nestačí. Profesionálna dentálna hygiena zabezpečí dôkladné vyčistenie aj ťažko dostupných miest a dlhotrvajúci efekt, ktorý bežné čistenie zubov nedosiahne.
Ako často chodiť na dentálnu hygienu?
Frekvencia návštev závisí od individuálneho stavu chrupu a potrieb každého pacienta:
- zdravý pacient: každých 6 mesiacov
- paropacienti: každé 3 – 4 mesiace
- deti: podľa odporúčania dentálneho hygienika, zvyčajne 2-krát ročne
Otázka, ako často chodiť na dentálnu hygienu, teda nemá jednu univerzálnu odpoveď. Ideálne je nastaviť si pravidelnosť individuálne, na základe stavu zubov a ďasien.
Ako dlho trvá dentálna hygiena?
Zvyčajne ide o vyšetrenie, ktoré trvá 45 až 60 minút, pričom dĺžka ošetrenia závisí od množstva zubného povlaku a kameňa. Pri náročnejších prípadoch môže ošetrenie trvať aj dlhšie, naopak, pri menej závažných problémoch môže byť kratšia. Počas jedného sedenia sa zároveň pacient dozvie aj praktické rady, ako zlepšiť svoju každodennú zubnú hygienu a predchádzať problémom do budúcna.

Dentálna hygiena pre paropacientov
Paropacienti trpia ochorením ďasien, parodontitídou, ktorá môže viesť až k postupnej strate zubov. Práve preto je pre nich pravidelná dentálna hygiena nevyhnutnou súčasťou liečby. Okrem klasického čistenia zahŕňa aj špecializované úkony, ako je podďasnové čistenie ultrazvukom, pieskovanie, kyretáž či výplach parovačkov. Tieto procedúry pomáhajú dôkladne odstrániť baktérie aj z miest, kam sa bežná zubná kefka nedostane. Na základe vyšetrenia sa následne určí aktuálny stav parodontitídy a nastaví individuálny liečebný plán, ktorý pomáha spomaliť progres ochorenia a stabilizovať zdravie ďasien.
Dentálna hygiena v tehotenstve
Dentálna hygiena v tehotenstve je bezpečná a dokonca veľmi odporúčaná. Hormonálne zmeny totiž zvyšujú citlivosť ďasien a riziko zápalov. V tomto období sa môže objaviť častejšie krvácanie ďasien, ich opuch aj vyššie riziko vzniku zubného kazu. Pravidelná zubná hygiena preto pomáha predchádzať komplikáciám a prispieva nielen k zdraviu ústnej dutiny, ale aj k celkovému zdraviu aj matky aj dieťaťa.
Detská dentálna hygiena: základ zdravých návykov
Dentálna hygiena detí zohráva kľúčovú úlohu v budovaní správnych návykov už od útleho veku. Pravidelné návštevy pomáhajú deťom pochopiť význam starostlivosti o zuby a zároveň si na ňu zvyknúť.
Prečo je dentálna hygiena u detí dôležitá?
Deti sa naučia správnu techniku čistenia zubov, predchádza sa vzniku kazov a eliminuje sa strach zo zubára, čo ocení nejeden rodič. Dentálna hygiena pre deti prebieha hravou a jemnou formou, aby si dieťa vytvorilo pozitívny vzťah k starostlivosti o ústnu dutinu.



Profesionálna starostlivosť na mieru
Dentálna hygiena nie je jednorazová záležitosť, ale dlhodobá investícia do zdravia. Pomáha predchádzať problémom, ktoré sa často prejavia až v pokročilom štádiu a ich riešenie je potom omnoho náročnejšie. Či už riešite ako odstrániť zubný povlak, trápi vás krvácanie ďasien alebo si len chcete udržať pekný a zdravý úsmev, pravidelná zubná hygiena je najjednoduchší a najefektívnejší krok, ktorý môžete urobiť.
Objednajte sa na dentálnu hygienu v Dental Brothers
Doprajte svojim zubom profesionálnu starostlivosť, ktorá prináša viditeľné a dlhodobé výsledky. V Dental Brothers vám pomôžeme nastaviť správnu starostlivosť presne podľa vašich potrieb, či už ide o preventívnu dentálnu hygienu, starostlivosť o deti alebo riešenie problémov s citlivými ďasnami. Objednajte sa na dentálnu hygienu ešte dnes a urobte prvý krok k zdravšiemu a krajšiemu úsmevu.


